
<!DOCTYPE html>

<script>alert('您暂时不能浏览该页面，请先登录');location.href='login.html';</script><html>
<head>
  <meta charset="utf-8">
  <meta name="viewport" content="width=device-width, initial-scale=1, maximum-scale=1">
  <title>优化文章后台</title>
  <link rel="stylesheet" href="layui/css/layui.css">
  <script src="layui/layui.js"></script>
  <script type="text/javascript" src="js/jquery.min.js"></script>
  <script src="js/wz.js"></script>
  <script src="ueditor/ueditor.config.js"></script>
  <script src="ueditor/ueditor.all.min.js"></script>
</head>
<body>
<div class="layui-layout layui-layout-admin">
  <div class="layui-header ">
    <div class="layui-logo layui-hide-xs layui-bg-black">川蜀优化</div>
    <!-- 头部区域（可配合layui 已有的水平导航） -->
    <ul class="layui-nav  layui-layout-left">
      <!-- 移动端显示 -->
      <li class="layui-nav-item layui-show-xs-inline-block layui-hide-sm" lay-header-event="menuLeft">
        <i class="layui-icon layui-icon-spread-left"></i>
      </li>
      
      <li class="layui-nav-item layui-hide-xs"><a href="index.php">首页</a></li>
      <li class="layui-nav-item layui-hide-xs"><a href="addwz.php">发布文章</a></li>
    
    </ul>
    <ul class="layui-nav layui-layout-right">
      <li class="layui-nav-item layui-hide layui-show-md-inline-block">
        <a href="javascript:;">
          <img src="images/logo.png" class="layui-nav-img">
           
        </a>
        <dl class="layui-nav-child">
          <dd><a href="">个人中心</a></dd>
          <dd><a href="">设置</a></dd>
          <dd><a href="login.html">退出</a></dd>
        </dl>
      </li>
      <li class="layui-nav-item" lay-header-event="menuRight" lay-unselect>
        <a href="javascript:;">
          <i class="layui-icon layui-icon-more-vertical"></i>
        </a>
      </li>
    </ul>
  </div>
  
  <div class="layui-side layui-bg-black">
    <div class="layui-side-scroll">
      <!-- 左侧导航区域（可配合layui已有的垂直导航） -->
      <ul class="layui-nav layui-nav-tree" lay-filter="test">
        <li class="layui-nav-item layui-nav-itemed">
          <a class="" href="javascript:;">小程序</a>
          <dl class="layui-nav-child">
            <dd><a href="1.php">1 成都川蜀血管医院 </a></dd>
            <dd><a href="2.php">2 成都川蜀医院 </a></dd>
            <dd><a href="3.php">3 成都川蜀血管病医院康复</a></dd>
			<dd><a href="4.php">4 成都川蜀静脉曲张</a></dd>
			<dd><a href="5.php">5 成都川蜀血管瘤病医院</a></dd>
			<dd><a href="6.php">6 成都川蜀血管研究院</a></dd>
			<dd><a href="7.php">7 成都川蜀血管病研究院</a></dd>
			<dd><a href="8.php">8 成都川蜀血管病医院订阅</a></dd>
			<dd><a href="9.php">9 成都川蜀血管病医院订阅号</a></dd>
			<dd><a href="10.php">10 成都川蜀动脉硬化医院</a></dd>
			<dd><a href="11.php">11 成都川蜀静脉曲张医院</a></dd>
			<dd><a href="12.php">12 贵阳脉通血管医院</a></dd>
			<dd><a href="13.php">13 贵阳脉通糖尿病足医院</a></dd>
			<dd><a href="14.php">14 贵阳脉通动脉硬化医院</a></dd>
			<dd><a href="15.php">15 成都川蜀血管病医院介入科</a></dd>
			<dd><a href="16.php">16 贵阳脉通血管医院康复</a></dd>
			<dd><a href="17.php">17 贵阳脉通静脉曲张医院</a></dd>
            <dd><a href="">the links</a></dd>
          </dl>
        </li>
       <li class="layui-nav-item"><a href="zj.php">成都专家</a></li>
		<li class="layui-nav-item"><a href="gyzj.php">贵阳专家</a></li>
        <li class="layui-nav-item"><a href="zh.php">账号信息</a></li> 
      </ul>
    </div>
  </div>

  <div class="layui-body">
    <!-- 内容主体区域 -->
   <div style='padding: 15px; width: 800px; margin: auto;'>
          <form enctype="multipart/form-data" action="" method="POST">
   	<div class="layui-form-item"><label class="layui-form-label">标题：</label><input type="text" name="title"  required  lay-verify="required" value="肝血管瘤医院微创手术方法" autocomplete="off" class="layui-input"></div>
   	<div class="layui-form-item"><label class="layui-form-label">副标题：</label><input type="text" name="shorttitle"   required  lay-verify="required" value="成都肝血管瘤医院微创介入手术" autocomplete="off" class="layui-input"></div>
	<div class="layui-form-item"><label class="layui-form-label">栏目：</label>
	<select name="sel" class="layui-input">
	<option value="" ></option>
	<option value="疾病科普" >疾病科普</option>
	<option value="医院新闻" >医院新闻</option>
	<option value="治疗案例" >治疗案例</option>
	<option value="静脉曲张" >静脉曲张</option>
	<option value="静脉血栓" >静脉血栓</option>
	<option value="动脉硬化" >动脉硬化</option>
	<option value="脉管炎" >脉管炎</option>
	<option value="老烂腿" >老烂腿</option>
	<option value="静脉炎" >静脉炎</option>
	<option value="糖尿病足" >糖尿病足</option>
	<option value="雷诺氏症" >雷诺氏症</option>
	<option value="血管炎" >血管炎</option>
	<option value="血管瘤" >血管瘤</option>
	<option value="肝血管瘤" >肝血管瘤</option>
	<option value="血管畸形" >血管畸形</option>
	<option value="脉管畸形" >脉管畸形</option>
	<option value="动静脉畸形" >动静脉畸形</option>
	<option value="前例腺增生" >前例腺增生</option>
	<option value="肝肾囊肿" >肝肾囊肿</option>
	<option value="子宫肌瘤" >子宫肌瘤</option>
	<option value="子宫腺肌症" >子宫腺肌症</option>
	<option value="盆腔淤血综合征" >盆腔淤血综合征</option>
	
	</select></div>
   	<div class="layui-form-item"><label class="layui-form-label">病种：</label><input type="text" name="zjbz"  placeholder="专家病种-血外/血管瘤"    value="" autocomplete="off" class="layui-input"></div>
	<div class="layui-form-item"><label class="layui-form-label">推荐值：</label><input type="text" name="tj"  placeholder="推荐值"    value="0" autocomplete="off" class="layui-input"></div>
	<div class="layui-form-item"><label class="layui-form-label">摘要：</label><input type="text" name="text" id="title" lay-verify="required" placeholder="摘要" autocomplete="off" class="layui-input"  value="肝内多发血管瘤，使许多患者苦不堪言，其实此病的治疗并不是特别困难。可以采取介入治疗，也可以采取放射治疗的方式，在治疗过程中，每个人也要正确认识，了解此病并非不治之症，还应多参加体育锻炼，养成良好的饮食习惯。"></div>
	<div class="layui-form-item" style="width: 300px;margin-bottom: 1%;"><label class="layui-form-label">缩略图：</label><img src="upload/20221102092425325.jpg" style="width: 100%;"><input class="layui-btn layui-btn-primary layui-border-green"  type="file" name="imgFile" id="inputImage" accept="image/*" multiple="multiple" onchange="change()" /></div>
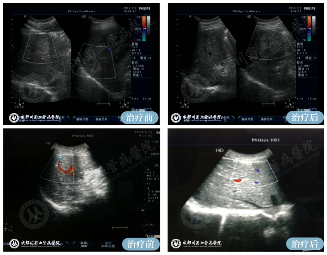
   <div class="layui-form-item"><textarea name="content" id="EditorId" placeholder="段落3" class="layui-textarea" ><p>肝内多发血管瘤，使许多患者苦不堪言，其实此病的治疗并不是特别困难。可以采取介入治疗，也可以采取放射治疗的方式，在治疗过程中，每个人也要正确认识，了解此病并非不治之症，还应多参加体育锻炼，养成良好的饮食习惯。</p><p>虽然我们一直强调饮酒对身体有害，但生活中还是有很多人经常喝酒，即使是有些人有酗酒的习惯，如果经常喝酒会自然损害肝脏健康，使人肝排毒的能力大大降低，而且体内还会有很多毒素存在。现在不但肝癌的发病率越来越高，许多良性肿瘤也越来越常见，如肝内多发血管瘤，很多病人对该病的治疗比较关心。</p><p>成都川蜀血管病医院采用智能超导介入栓塞消融术是通过多普勒双功能彩超的3D扫描指导下，确定肝脏血管瘤瘤体的部位大小，选择穿刺点，定位肝脏血管瘤的瘤体，在超声系统的严密可视化监控下，置入血管鞘，在血管鞘的保护下，插入导管至瘤体血管内，在智能超声系统的反馈下，准确阻断血管瘤的营养血管，不会累及到肝脏内正常的血管与胆管。</p><p><img src="https://xcx.cdcs217.com/ueditor/php/upload/image/20221102/1667352231.jpg" title="【成都血管瘤治疗案例】智能腔内综合治疗前后对比 " alt="【成都血管瘤治疗案例】智能腔内综合治疗前后对比 " width="491" height="397" style="width: 491px; height: 397px;" border="0" vspace="0"/></p><p>介入治疗实际上也很有效。肝血管瘤以肝动脉供血为主，栓塞动脉可在体内形成血栓，栓塞和纤维化可使液体形成纤维瘤结构慢慢缩小，终达到硬化的目的。</p><p>放射治疗产生的射线能迅速摧毁未成熟的血管瘤，使血管瘤内的血管纤维化，从而达到缩小肿瘤的目的。目前临床上常用的三维适形放疗，实际上对肝脏的伤害非常小。</p></textarea></div>
   <!-- <div class="layui-form-item"><input class="layui-btn layui-btn-primary layui-border-green"  type="file" name="imgFile[]" id="inputImage" accept="image/*" multiple="multiple" onchange="change()" /></div>
      -->   <div class="layui-form-item" style="margin-top: 12%;">
             <button class="layui-btn" lay-submit lay-filter="formDemo" name="upd" value="upd">确定</button>
             <button type="reset" class="layui-btn layui-btn-primary">重置</button>
         </div>
       </form>
     </div>
            </div>
  </div>
  
  <div class="layui-footer">
    <!-- 底部固定区域 -->
    底部固定区域
  </div>
</div>

<script>
//JS 
layui.use(['element', 'layer', 'util'], function(){
  var element = layui.element
  ,layer = layui.layer
  ,util = layui.util
  ,$ = layui.$;
  
  //头部事件
  util.event('lay-header-event', {
    //左侧菜单事件
    menuLeft: function(othis){
      layer.msg('展开左侧菜单的操作', {icon: 0});
    }
    ,menuRight: function(){
      layer.open({
        type: 1
        ,content: '<div style="padding: 15px;">处理右侧面板的操作</div>'
        ,area: ['260px', '100%']
        ,offset: 'rt' //右上角
        ,anim: 5
        ,shadeClose: true
      });
    }
  });
  
});
</script>
<script type="text/javascript" charset="utf-8">//初始化编辑器 
       window.UEDITOR_HOME_URL = "ueditor/";//配置路径设定为UEditor所放的位置 
       window.onload=function(){ 
        window.UEDITOR_CONFIG.initialFrameHeight=500;//编辑器的高度 
        window.UEDITOR_CONFIG.initialFrameWidth=800;//编辑器的宽度 
        var editor = new UE.ui.Editor({ 
          imageUrl : '', 
          fileUrl : '', 
          imagePath : '', 
          filePath : '', 
          imageManagerUrl:'', //图片在线管理的处理地址 
          imageManagerPath:'upload/' 
        }); 
        editor.render("EditorId");//此处的EditorId与<textarea name="content" id="EditorId">的id值对应 </textarea> 
      } 
    </script> 
</body>
</html>
