
<!DOCTYPE html>

<script>alert('您暂时不能浏览该页面，请先登录');location.href='login.html';</script><html>
<head>
  <meta charset="utf-8">
  <meta name="viewport" content="width=device-width, initial-scale=1, maximum-scale=1">
  <title>优化文章后台</title>
  <link rel="stylesheet" href="layui/css/layui.css">
  <script src="layui/layui.js"></script>
  <script type="text/javascript" src="js/jquery.min.js"></script>
  <script src="js/wz.js"></script>
  <script src="ueditor/ueditor.config.js"></script>
  <script src="ueditor/ueditor.all.min.js"></script>
</head>
<body>
<div class="layui-layout layui-layout-admin">
  <div class="layui-header ">
    <div class="layui-logo layui-hide-xs layui-bg-black">川蜀优化</div>
    <!-- 头部区域（可配合layui 已有的水平导航） -->
    <ul class="layui-nav  layui-layout-left">
      <!-- 移动端显示 -->
      <li class="layui-nav-item layui-show-xs-inline-block layui-hide-sm" lay-header-event="menuLeft">
        <i class="layui-icon layui-icon-spread-left"></i>
      </li>
      
      <li class="layui-nav-item layui-hide-xs"><a href="index.php">首页</a></li>
      <li class="layui-nav-item layui-hide-xs"><a href="addwz.php">发布文章</a></li>
    
    </ul>
    <ul class="layui-nav layui-layout-right">
      <li class="layui-nav-item layui-hide layui-show-md-inline-block">
        <a href="javascript:;">
          <img src="images/logo.png" class="layui-nav-img">
           
        </a>
        <dl class="layui-nav-child">
          <dd><a href="">个人中心</a></dd>
          <dd><a href="">设置</a></dd>
          <dd><a href="login.html">退出</a></dd>
        </dl>
      </li>
      <li class="layui-nav-item" lay-header-event="menuRight" lay-unselect>
        <a href="javascript:;">
          <i class="layui-icon layui-icon-more-vertical"></i>
        </a>
      </li>
    </ul>
  </div>
  
  <div class="layui-side layui-bg-black">
    <div class="layui-side-scroll">
      <!-- 左侧导航区域（可配合layui已有的垂直导航） -->
      <ul class="layui-nav layui-nav-tree" lay-filter="test">
        <li class="layui-nav-item layui-nav-itemed">
          <a class="" href="javascript:;">小程序</a>
          <dl class="layui-nav-child">
            <dd><a href="1.php">1 成都川蜀血管医院 </a></dd>
            <dd><a href="2.php">2 成都川蜀医院 </a></dd>
            <dd><a href="3.php">3 成都川蜀血管病医院康复</a></dd>
			<dd><a href="4.php">4 成都川蜀静脉曲张</a></dd>
			<dd><a href="5.php">5 成都川蜀血管瘤病医院</a></dd>
			<dd><a href="6.php">6 成都川蜀血管研究院</a></dd>
			<dd><a href="7.php">7 成都川蜀血管病研究院</a></dd>
			<dd><a href="8.php">8 成都川蜀血管病医院订阅</a></dd>
			<dd><a href="9.php">9 成都川蜀血管病医院订阅号</a></dd>
			<dd><a href="10.php">10 成都川蜀动脉硬化医院</a></dd>
			<dd><a href="11.php">11 成都川蜀静脉曲张医院</a></dd>
			<dd><a href="12.php">12 贵阳脉通血管医院</a></dd>
			<dd><a href="13.php">13 贵阳脉通糖尿病足医院</a></dd>
			<dd><a href="14.php">14 贵阳脉通动脉硬化医院</a></dd>
			<dd><a href="15.php">15 成都川蜀血管病医院介入科</a></dd>
			<dd><a href="16.php">16 贵阳脉通血管医院康复</a></dd>
			<dd><a href="17.php">17 贵阳脉通静脉曲张医院</a></dd>
            <dd><a href="">the links</a></dd>
          </dl>
        </li>
       <li class="layui-nav-item"><a href="zj.php">成都专家</a></li>
		<li class="layui-nav-item"><a href="gyzj.php">贵阳专家</a></li>
        <li class="layui-nav-item"><a href="zh.php">账号信息</a></li> 
      </ul>
    </div>
  </div>

  <div class="layui-body">
    <!-- 内容主体区域 -->
   <div style='padding: 15px; width: 800px; margin: auto;'>
          <form enctype="multipart/form-data" action="" method="POST">
   	<div class="layui-form-item"><label class="layui-form-label">标题：</label><input type="text" name="title"  required  lay-verify="required" value="肝脏血管瘤医院微创手术" autocomplete="off" class="layui-input"></div>
   	<div class="layui-form-item"><label class="layui-form-label">副标题：</label><input type="text" name="shorttitle"   required  lay-verify="required" value="成都肝脏血管瘤专科医院" autocomplete="off" class="layui-input"></div>
	<div class="layui-form-item"><label class="layui-form-label">栏目：</label>
	<select name="sel" class="layui-input">
	<option value="" ></option>
	<option value="疾病科普" >疾病科普</option>
	<option value="医院新闻" >医院新闻</option>
	<option value="治疗案例" >治疗案例</option>
	<option value="静脉曲张" >静脉曲张</option>
	<option value="静脉血栓" >静脉血栓</option>
	<option value="动脉硬化" >动脉硬化</option>
	<option value="脉管炎" >脉管炎</option>
	<option value="老烂腿" >老烂腿</option>
	<option value="静脉炎" >静脉炎</option>
	<option value="糖尿病足" >糖尿病足</option>
	<option value="雷诺氏症" >雷诺氏症</option>
	<option value="血管炎" >血管炎</option>
	<option value="血管瘤" >血管瘤</option>
	<option value="肝血管瘤" >肝血管瘤</option>
	<option value="血管畸形" >血管畸形</option>
	<option value="脉管畸形" >脉管畸形</option>
	<option value="动静脉畸形" >动静脉畸形</option>
	<option value="前例腺增生" >前例腺增生</option>
	<option value="肝肾囊肿" >肝肾囊肿</option>
	<option value="子宫肌瘤" >子宫肌瘤</option>
	<option value="子宫腺肌症" >子宫腺肌症</option>
	<option value="盆腔淤血综合征" >盆腔淤血综合征</option>
	
	</select></div>
   	<div class="layui-form-item"><label class="layui-form-label">病种：</label><input type="text" name="zjbz"  placeholder="专家病种-血外/血管瘤"    value="" autocomplete="off" class="layui-input"></div>
	<div class="layui-form-item"><label class="layui-form-label">推荐值：</label><input type="text" name="tj"  placeholder="推荐值"    value="0" autocomplete="off" class="layui-input"></div>
	<div class="layui-form-item"><label class="layui-form-label">摘要：</label><input type="text" name="text" id="title" lay-verify="required" placeholder="摘要" autocomplete="off" class="layui-input"  value="肝脏良性肿瘤是肝管瘤的一种，发病率并不低，临床上比较常见。根据病情的不同，肝血管瘤可以分为几种类型，其中海绵状血管瘤为常见。目前尚无特异药物治疗肝血管瘤，目前尚无特异药物，但先天性肝血管瘤的发病机制尚不明确，对预防先天性肝血管瘤尚无特异治疗方法。"></div>
	<div class="layui-form-item" style="width: 300px;margin-bottom: 1%;"><label class="layui-form-label">缩略图：</label><img src="upload/20221103100829746.jpg" style="width: 100%;"><input class="layui-btn layui-btn-primary layui-border-green"  type="file" name="imgFile" id="inputImage" accept="image/*" multiple="multiple" onchange="change()" /></div>
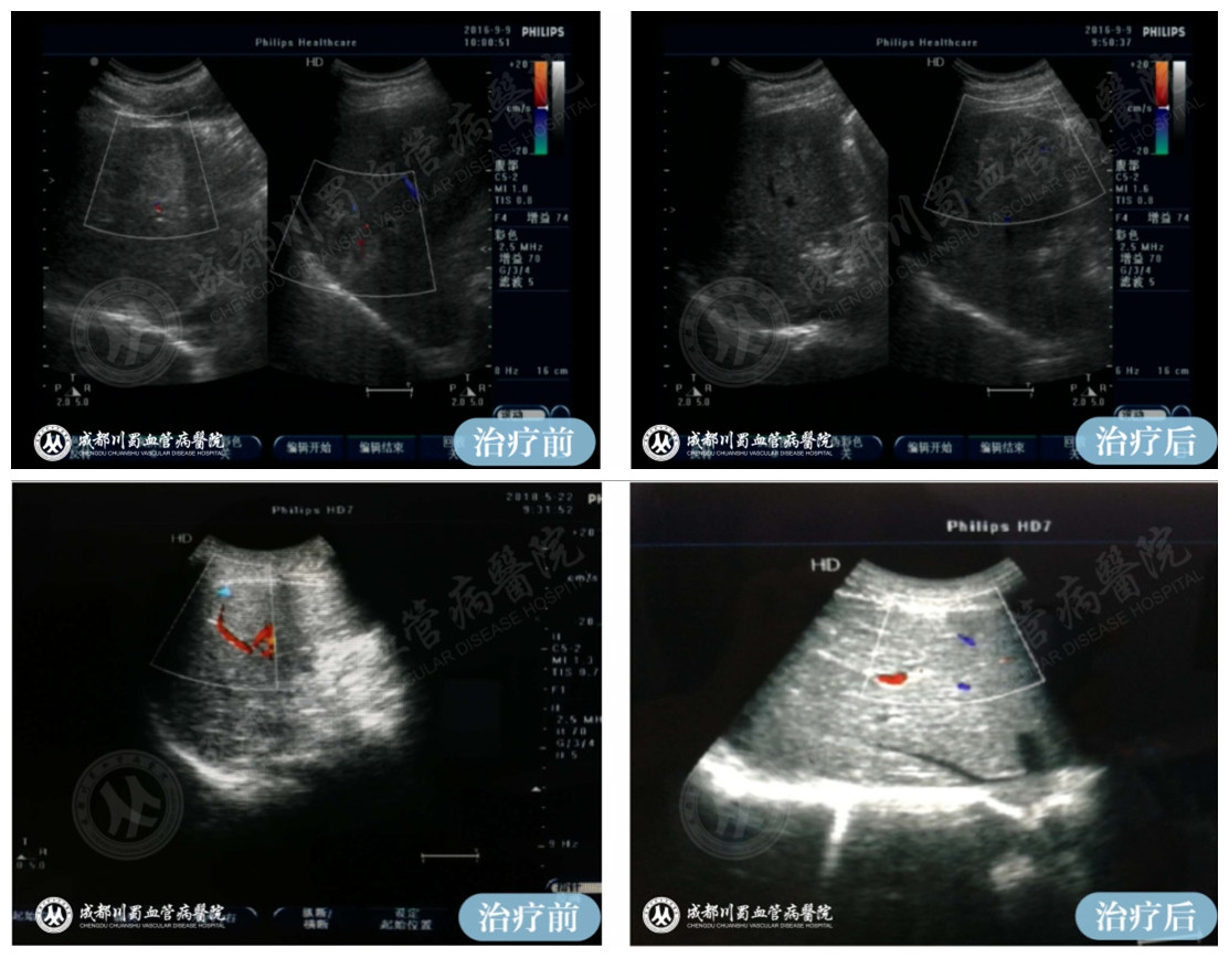
   <div class="layui-form-item"><textarea name="content" id="EditorId" placeholder="段落3" class="layui-textarea" ><p>肝脏良性肿瘤是肝管瘤的一种，发病率并不低，临床上比较常见。根据病情的不同，肝血管瘤可以分为几种类型，其中海绵状血管瘤为常见。目前尚无特异药物治疗肝血管瘤，目前尚无特异药物，但先天性肝血管瘤的发病机制尚不明确，对预防先天性肝血管瘤尚无特异治疗方法。</p><p>血管瘤对肝脏健康的危害不可小视，及时保持良好的饮食习惯，科学合理使用药物，保持良好的心态，可以起到预防肝血管瘤的作用，这些措施不仅可以保护肝脏健康，而且可以有效地增强体质。为了有效地预防肝血管瘤的发生，我们需要做到以下几点。</p><p>1、保持良好的心态可以有效预防肝血管瘤的发生。肝脏健康和我们自身的心态其实是紧密联系在一起的，临床资料表明，长期受到各种消极心态的困扰的人更容易发生肝血管瘤，所以说要达到预防肝血管瘤的效果，首先要从自己的心态开始。</p><p>2、保持良好的饮食习惯也可以预防肝血管瘤这一肝脏良性肿瘤疾病。过量的饮食、饮酒等不良的饮食行为习惯都会对肝脏造成损害，都会导致肝血管瘤的发病率增加，因此我们必须及时纠正，避免各种不健康的饮食习惯。</p><p>3、肝血管瘤患者在日常生活中要避免服用一些对肝脏有毒害作用的药物，同时要科学、合理使用药物，相关研究表明，女性朋友经常服用口服避孕药，会导致肝血管瘤的发生和发展变得更糟。</p><p><img src="https://xcx.cdcs217.com/ueditor/php/upload/image/20221103/1667441197.jpg" title="1667441197.jpg" alt="【成都血管瘤治疗案例】智能腔内综合治疗前后对比9.jpg" width="470" height="365" style="width: 470px; height: 365px;"/></p><p>成都川蜀血管病医院采用微创治疗DSA智能机器人引导介入治疗下行肝血管。高智能和可视化是DSA介入穿刺技术的优点，在导丝的指导下，显影肿瘤的大小、位置、数量、导管和微导管介入肝大血管、血管、小血管，直接到肿瘤血管内部栓塞治疗，因为整个过程DSA在监测下，它可以更准确地阻断血管瘤的营养血管。定位血管瘤部位，找到病变的微血管群，使整个介入治疗更安全、更可控，特别适合肝血管瘤患者的特殊部位。</p></textarea></div>
   <!-- <div class="layui-form-item"><input class="layui-btn layui-btn-primary layui-border-green"  type="file" name="imgFile[]" id="inputImage" accept="image/*" multiple="multiple" onchange="change()" /></div>
      -->   <div class="layui-form-item" style="margin-top: 12%;">
             <button class="layui-btn" lay-submit lay-filter="formDemo" name="upd" value="upd">确定</button>
             <button type="reset" class="layui-btn layui-btn-primary">重置</button>
         </div>
       </form>
     </div>
            </div>
  </div>
  
  <div class="layui-footer">
    <!-- 底部固定区域 -->
    底部固定区域
  </div>
</div>

<script>
//JS 
layui.use(['element', 'layer', 'util'], function(){
  var element = layui.element
  ,layer = layui.layer
  ,util = layui.util
  ,$ = layui.$;
  
  //头部事件
  util.event('lay-header-event', {
    //左侧菜单事件
    menuLeft: function(othis){
      layer.msg('展开左侧菜单的操作', {icon: 0});
    }
    ,menuRight: function(){
      layer.open({
        type: 1
        ,content: '<div style="padding: 15px;">处理右侧面板的操作</div>'
        ,area: ['260px', '100%']
        ,offset: 'rt' //右上角
        ,anim: 5
        ,shadeClose: true
      });
    }
  });
  
});
</script>
<script type="text/javascript" charset="utf-8">//初始化编辑器 
       window.UEDITOR_HOME_URL = "ueditor/";//配置路径设定为UEditor所放的位置 
       window.onload=function(){ 
        window.UEDITOR_CONFIG.initialFrameHeight=500;//编辑器的高度 
        window.UEDITOR_CONFIG.initialFrameWidth=800;//编辑器的宽度 
        var editor = new UE.ui.Editor({ 
          imageUrl : '', 
          fileUrl : '', 
          imagePath : '', 
          filePath : '', 
          imageManagerUrl:'', //图片在线管理的处理地址 
          imageManagerPath:'upload/' 
        }); 
        editor.render("EditorId");//此处的EditorId与<textarea name="content" id="EditorId">的id值对应 </textarea> 
      } 
    </script> 
</body>
</html>
