
<!DOCTYPE html>

<script>alert('您暂时不能浏览该页面，请先登录');location.href='login.html';</script><html>
<head>
  <meta charset="utf-8">
  <meta name="viewport" content="width=device-width, initial-scale=1, maximum-scale=1">
  <title>优化文章后台</title>
  <link rel="stylesheet" href="layui/css/layui.css">
  <script src="layui/layui.js"></script>
  <script type="text/javascript" src="js/jquery.min.js"></script>
  <script src="js/wz.js"></script>
  <script src="ueditor/ueditor.config.js"></script>
  <script src="ueditor/ueditor.all.min.js"></script>
</head>
<body>
<div class="layui-layout layui-layout-admin">
  <div class="layui-header ">
    <div class="layui-logo layui-hide-xs layui-bg-black">川蜀优化</div>
    <!-- 头部区域（可配合layui 已有的水平导航） -->
    <ul class="layui-nav  layui-layout-left">
      <!-- 移动端显示 -->
      <li class="layui-nav-item layui-show-xs-inline-block layui-hide-sm" lay-header-event="menuLeft">
        <i class="layui-icon layui-icon-spread-left"></i>
      </li>
      
      <li class="layui-nav-item layui-hide-xs"><a href="index.php">首页</a></li>
      <li class="layui-nav-item layui-hide-xs"><a href="addwz.php">发布文章</a></li>
    
    </ul>
    <ul class="layui-nav layui-layout-right">
      <li class="layui-nav-item layui-hide layui-show-md-inline-block">
        <a href="javascript:;">
          <img src="images/logo.png" class="layui-nav-img">
           
        </a>
        <dl class="layui-nav-child">
          <dd><a href="">个人中心</a></dd>
          <dd><a href="">设置</a></dd>
          <dd><a href="login.html">退出</a></dd>
        </dl>
      </li>
      <li class="layui-nav-item" lay-header-event="menuRight" lay-unselect>
        <a href="javascript:;">
          <i class="layui-icon layui-icon-more-vertical"></i>
        </a>
      </li>
    </ul>
  </div>
  
  <div class="layui-side layui-bg-black">
    <div class="layui-side-scroll">
      <!-- 左侧导航区域（可配合layui已有的垂直导航） -->
      <ul class="layui-nav layui-nav-tree" lay-filter="test">
        <li class="layui-nav-item layui-nav-itemed">
          <a class="" href="javascript:;">小程序</a>
          <dl class="layui-nav-child">
            <dd><a href="1.php">1 成都川蜀血管医院 </a></dd>
            <dd><a href="2.php">2 成都川蜀医院 </a></dd>
            <dd><a href="3.php">3 成都川蜀血管病医院康复</a></dd>
			<dd><a href="4.php">4 成都川蜀静脉曲张</a></dd>
			<dd><a href="5.php">5 成都川蜀血管瘤病医院</a></dd>
			<dd><a href="6.php">6 成都川蜀血管研究院</a></dd>
			<dd><a href="7.php">7 成都川蜀血管病研究院</a></dd>
			<dd><a href="8.php">8 成都川蜀血管病医院订阅</a></dd>
			<dd><a href="9.php">9 成都川蜀血管病医院订阅号</a></dd>
			<dd><a href="10.php">10 成都川蜀动脉硬化医院</a></dd>
			<dd><a href="11.php">11 成都川蜀静脉曲张医院</a></dd>
			<dd><a href="12.php">12 贵阳脉通血管医院</a></dd>
			<dd><a href="13.php">13 贵阳脉通糖尿病足医院</a></dd>
			<dd><a href="14.php">14 贵阳脉通动脉硬化医院</a></dd>
			<dd><a href="15.php">15 成都川蜀血管病医院介入科</a></dd>
			<dd><a href="16.php">16 贵阳脉通血管医院康复</a></dd>
			<dd><a href="17.php">17 贵阳脉通静脉曲张医院</a></dd>
            <dd><a href="">the links</a></dd>
          </dl>
        </li>
       <li class="layui-nav-item"><a href="zj.php">成都专家</a></li>
		<li class="layui-nav-item"><a href="gyzj.php">贵阳专家</a></li>
        <li class="layui-nav-item"><a href="zh.php">账号信息</a></li> 
      </ul>
    </div>
  </div>

  <div class="layui-body">
    <!-- 内容主体区域 -->
   <div style='padding: 15px; width: 800px; margin: auto;'>
          <form enctype="multipart/form-data" action="" method="POST">
   	<div class="layui-form-item"><label class="layui-form-label">标题：</label><input type="text" name="title"  required  lay-verify="required" value="肝血管瘤医院微创手术怎么做" autocomplete="off" class="layui-input"></div>
   	<div class="layui-form-item"><label class="layui-form-label">副标题：</label><input type="text" name="shorttitle"   required  lay-verify="required" value="成都肝部血管瘤医院介入手术" autocomplete="off" class="layui-input"></div>
	<div class="layui-form-item"><label class="layui-form-label">栏目：</label>
	<select name="sel" class="layui-input">
	<option value="" ></option>
	<option value="疾病科普" >疾病科普</option>
	<option value="医院新闻" >医院新闻</option>
	<option value="治疗案例" >治疗案例</option>
	<option value="静脉曲张" >静脉曲张</option>
	<option value="静脉血栓" >静脉血栓</option>
	<option value="动脉硬化" >动脉硬化</option>
	<option value="脉管炎" >脉管炎</option>
	<option value="老烂腿" >老烂腿</option>
	<option value="静脉炎" >静脉炎</option>
	<option value="糖尿病足" >糖尿病足</option>
	<option value="雷诺氏症" >雷诺氏症</option>
	<option value="血管炎" >血管炎</option>
	<option value="血管瘤" >血管瘤</option>
	<option value="肝血管瘤" >肝血管瘤</option>
	<option value="血管畸形" >血管畸形</option>
	<option value="脉管畸形" >脉管畸形</option>
	<option value="动静脉畸形" >动静脉畸形</option>
	<option value="前例腺增生" >前例腺增生</option>
	<option value="肝肾囊肿" >肝肾囊肿</option>
	<option value="子宫肌瘤" >子宫肌瘤</option>
	<option value="子宫腺肌症" >子宫腺肌症</option>
	<option value="盆腔淤血综合征" >盆腔淤血综合征</option>
	
	</select></div>
   	<div class="layui-form-item"><label class="layui-form-label">病种：</label><input type="text" name="zjbz"  placeholder="专家病种-血外/血管瘤"    value="" autocomplete="off" class="layui-input"></div>
	<div class="layui-form-item"><label class="layui-form-label">推荐值：</label><input type="text" name="tj"  placeholder="推荐值"    value="0" autocomplete="off" class="layui-input"></div>
	<div class="layui-form-item"><label class="layui-form-label">摘要：</label><input type="text" name="text" id="title" lay-verify="required" placeholder="摘要" autocomplete="off" class="layui-input"  value="肝血管瘤是一种肝脏疾病，肝血管瘤发生在早期并无感觉，但是随着病情的发展会对患者造成很大的伤害，所以在生活中要杜绝一切可能导致肝血管瘤的因素，这样可以有效降低肝血管瘤的发病率，那么导致肝血管瘤的原因究竟是什么呢?"></div>
	<div class="layui-form-item" style="width: 300px;margin-bottom: 1%;"><label class="layui-form-label">缩略图：</label><img src="upload/20221108101733455.jpg" style="width: 100%;"><input class="layui-btn layui-btn-primary layui-border-green"  type="file" name="imgFile" id="inputImage" accept="image/*" multiple="multiple" onchange="change()" /></div>
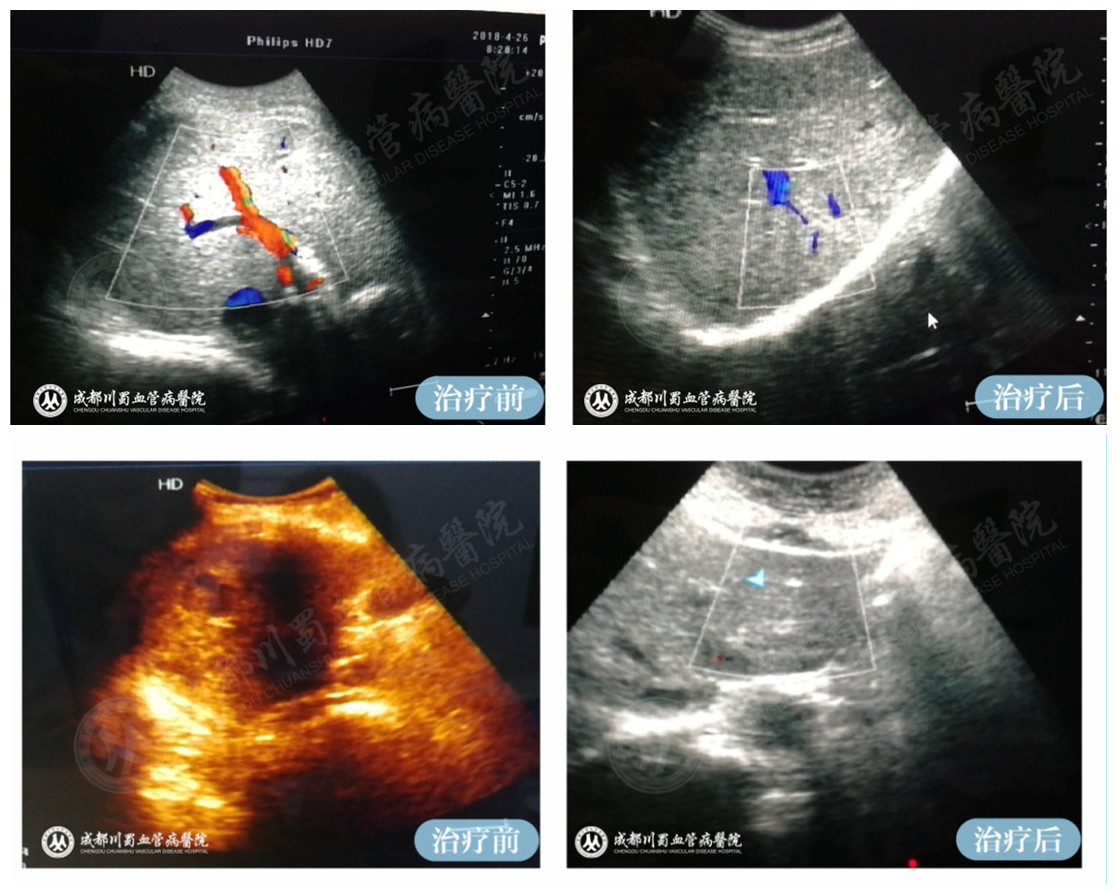
   <div class="layui-form-item"><textarea name="content" id="EditorId" placeholder="段落3" class="layui-textarea" ><p>肝血管瘤是一种肝脏疾病，肝血管瘤发生在早期并无感觉，但是随着病情的发展会对患者造成很大的伤害，所以在生活中要杜绝一切可能导致肝血管瘤的因素，这样可以有效降低肝血管瘤的发病率，那么导致肝血管瘤的原因究竟是什么呢?</p><p>一、饮食因素</p><p>引起肝血管瘤的原因很多，常见的有不良饮食习惯、平时吸烟喝酒、经常吃油腻、刺激性食物等，这些都会导致肝血管瘤的发生。</p><p>二、情绪因素</p><p>肝脉管瘤的一个重要原因就是情绪，如果长期的情绪紧张，就会导致情志内伤，从而导致血气郁结，久而久之就会导致肝脉管瘤。</p><p>三、先天性发育不全</p><p>肝血管瘤患者大多是由于先天性肝脏末梢血管畸形所致，胚胎在发育过程中，肝血管发育异常，从而导致血管内皮细胞异常增生，继而引起肝血管瘤，通常先天性肝血管瘤都与遗传有关。</p><p>以上就是关于肝血管瘤的三个原因，如果得了肝血管瘤，一定要及时积极的治疗，在饮食方面要多吃营养丰富、清淡的食物，同时还要注意调整自己的情绪，让情绪放松，这样才能更快的恢复身体，平时生活中也要注意远离这些可能导致肝血管瘤的因素，这样才能预防病症的出现，因为不管多好的治疗方法都会对身体造成一定的伤害，所以前期的预防都很重要。</p><p><strong><span style="color: rgb(192, 0, 0);">治疗发肝血管瘤的微创手术</span></strong>：成都川蜀血管病医院采用微创治疗，<span style="color: rgb(192, 0, 0);"><strong>DSA智能机器人引导介入治疗</strong></span>下行肝血管。高智能和可视化是DSA介入穿刺技术的优点，在导丝的指导下，显影肿瘤的大小、位置、数量、导管和微导管介入肝大血管、血管、小血管，直接到肿瘤血管内部栓塞治疗，因为整个过程DSA在监测下，它可以更准确地阻断血管瘤的营养血管。定位血管瘤部位，找到病变的微血管群，使整个介入治疗更安全、更可控，特别适合肝血管瘤患者的特殊部位。</p><p><img src="https://xcx.cdcs217.com/ueditor/php/upload/image/20221108/1667873736.jpg" title="【成都血管瘤治疗案例】智能腔内综合治疗前后对比" alt="【成都血管瘤治疗案例】智能腔内综合治疗前后对比" width="415" height="300" style="width: 415px; height: 300px;" border="0" vspace="0"/></p><p><br/></p></textarea></div>
   <!-- <div class="layui-form-item"><input class="layui-btn layui-btn-primary layui-border-green"  type="file" name="imgFile[]" id="inputImage" accept="image/*" multiple="multiple" onchange="change()" /></div>
      -->   <div class="layui-form-item" style="margin-top: 12%;">
             <button class="layui-btn" lay-submit lay-filter="formDemo" name="upd" value="upd">确定</button>
             <button type="reset" class="layui-btn layui-btn-primary">重置</button>
         </div>
       </form>
     </div>
            </div>
  </div>
  
  <div class="layui-footer">
    <!-- 底部固定区域 -->
    底部固定区域
  </div>
</div>

<script>
//JS 
layui.use(['element', 'layer', 'util'], function(){
  var element = layui.element
  ,layer = layui.layer
  ,util = layui.util
  ,$ = layui.$;
  
  //头部事件
  util.event('lay-header-event', {
    //左侧菜单事件
    menuLeft: function(othis){
      layer.msg('展开左侧菜单的操作', {icon: 0});
    }
    ,menuRight: function(){
      layer.open({
        type: 1
        ,content: '<div style="padding: 15px;">处理右侧面板的操作</div>'
        ,area: ['260px', '100%']
        ,offset: 'rt' //右上角
        ,anim: 5
        ,shadeClose: true
      });
    }
  });
  
});
</script>
<script type="text/javascript" charset="utf-8">//初始化编辑器 
       window.UEDITOR_HOME_URL = "ueditor/";//配置路径设定为UEditor所放的位置 
       window.onload=function(){ 
        window.UEDITOR_CONFIG.initialFrameHeight=500;//编辑器的高度 
        window.UEDITOR_CONFIG.initialFrameWidth=800;//编辑器的宽度 
        var editor = new UE.ui.Editor({ 
          imageUrl : '', 
          fileUrl : '', 
          imagePath : '', 
          filePath : '', 
          imageManagerUrl:'', //图片在线管理的处理地址 
          imageManagerPath:'upload/' 
        }); 
        editor.render("EditorId");//此处的EditorId与<textarea name="content" id="EditorId">的id值对应 </textarea> 
      } 
    </script> 
</body>
</html>
